Skip Menu
With the safety of our community being our top priority, here at Camarillo Dental Arts, we will be updating all safety procedures and protocol.
**CLICK HERE TO LEARN MORE WHAT WE ARE DOING TO PROTECT YOU**
  • 4000 Calle Tecate,
  • Suite 217,
  • Camarillo, CA 93012
  • Home
  • About Us
    • Our Office
    • Financing With Cherry
    • Office Tour
    • New Patients
    • Smile Gallery
    • Dental Videos
    • Testimonials
  • Our Doctor
    • Ariel Nergis Gurses, DDS
  • Our Team
  • Services
      • All on 4®
      • Cosmetic Dentistry
      • Crowns & Caps
      • Dental Bridges
      • Dental Fillings
      • Dentures
      • Digital Radiography
      • Emergency Treatment
      • Extractions
      • Implant Dentistry
      • Implant Restorations
      • Invisalign®
      • Laser Dentistry
      • Night Guards
      • Onsite Dental Lab
      • Oral Cancer Screening
      • Oral Exams
      • Pediatric Dentistry
      • Periodontal Treatment
      • Preventive Program
      • Root Canals
      • Same Day Repairs
      • Sedation Dentistry
      • Snoring Appliances
      • Sports Mouthguards
      • Teeth Whitening
      • TMJ Disorders
      • Veneers
    • View All
  • Specials
  • Dental Health
  • Contact
    • Contact Us
    • Request Appointment

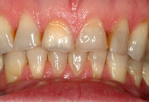
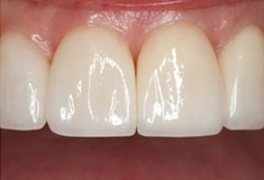
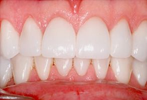
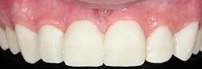
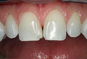
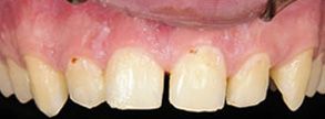
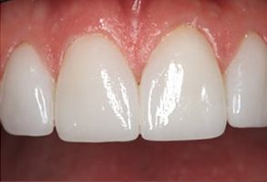
Smile Gallery

Additional Information

Our Location

4000 Calle Tecate
Suite 217
Camarillo, CA 93012
(805) 201-3311

Follow Us